225 E State Hwy 121 #117 | Coppell, TX 75019 | 972.315.0811

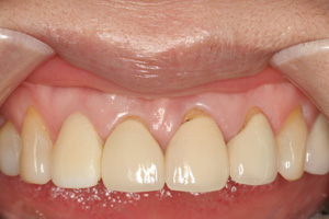
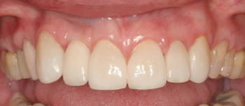
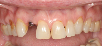
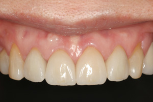
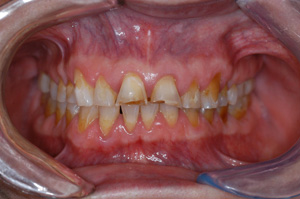
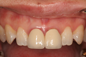
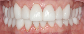
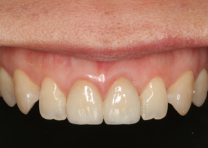
Clinical Cases





Make Your Appointment Today

To experience the benefits of modern general dentistry and prosthodontics in Coppell, TX, contact Dr. Heeje Lee at (972) 315-0811. Evergreen Dental welcomes patients from Coppell, Lewisville, Grapevine, Flower Mound, Irving, and the nearby communities.